мэдээ
Хантингтоны өвчний шинэ эмчилгээ

Админ
2025 оны 10 сарын 20

130

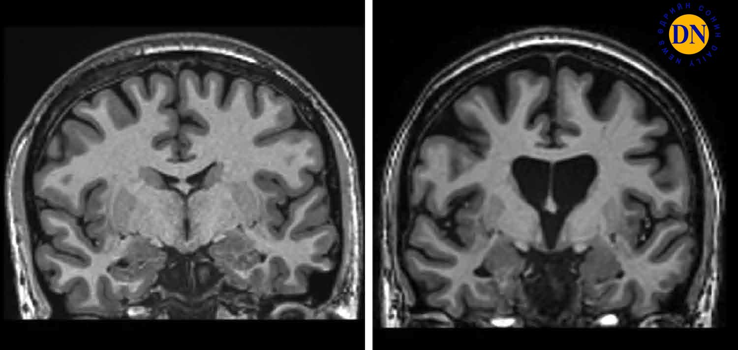
АНУ болон Европын эрдэмтэд, эмч нар анх удаа генийн эмчилгээний тусламжтайгаар эдгэршгүй гэгдэж байсан Хантингтоны өвчний явцыг дөрөв дахин удаашруулж чадсан байна. Энэхүү шинэ эмчилгээний туршилтыг зохион байгуулсан “uniQure” компани “АНУ, Европын хэдэн арван сайн дурын өвчтөнд 2022 онд мэс засал хийж, гурван жилийн турш ажигласны дүнд Хантингтоны өвчний явц 75 хувь удааширсан болохыг тогтоож чадсан” гэж мэдэгдэв.
Энэхүү туршилтын эмчилгээний нэг оролцогч, Лондонгийн Их Сургуулийн Хантингтоны өвчний төвийн захирал, клиник мэдрэл судлалын профессор Сара Табризи BBC-д “Хантингтоны өвчний анхны шинж тэмдэг голдуу 30 наснаас хойш илэрч эхэлдэг ба өвчтөн ихэвчлэн 20 жилийн дотор нас бардаг байсан. Өмнө нь нэг жилийн хугацаанд явагддаг байсан энэ өвчний доройтлын явц энэхүү эмчилгээний дараа дөрвөн жил болж уртассан бөгөөд өвчтөнд амьдралын хэдэн арван жил бэлэглэж байгаа явдал юм. Хантингтоны өвчний явцыг 75 хувь удаашруулж чадна гэж бид мөрөөдөлдөө ч бодож байгаагүй” гэж хэлжээ. Лондонгийн Их сургуулийн харьяа Үндэсний мэдрэлийн болон мэдрэлийн мэс заслын эмнэлгийн профессор Эд Уайлд “Бид ийм том үр дүн гарна гэж бодож байгаагүй. Гэтэл энэ туршилт бидэнд том боломж төдийгүй түүний цар хүрээ амьсгал ч давчдуулам том амжилт авчирсан… энэ мэдрэмжийг үгээр илэрхийлэхэд маш хэцүү” гэж хэлэв. Гэвч энэ эмчилгээний шинэ аргын мэс засал маш өндөр үнэтэй байх төлөвтэй байгаа аж.
Хантингтоны өвчин бол удамшлын генийн гаралтай эмгэг бөгөөд тархины эсүүдийг устгаж, шинж тэмдгээрээ Паркинсоны өвчин, деменци, хөдөлгөөний нейроны өвчин гэгддэг саажилттай адил төстэй илэрч, хүндэрсээр үхэлд хүргэдэг өвчин юм. Хантингтоны өвчнийг тархины эсийг үхүүлдэг гентингтин гэх уургийн мутаци үүсгэдэг. Хэрэв эцэг эхийн аль нэг нь ийм мутаци бүхий гентэй байсны улмаас Хантингтоны өвчнөөр өвчилсөн бол хүүхэд нь 50 хувийн магадлалаар уг өвчин тусах аюултай аж. Тэгвэл “uniQure” компанийн эмч нар хамгийн орчин үеийн генийн анагаахын аргыг ашиглан нэг удаагийн хүнд мэс заслаар хүний биеийн гентингтиний хэмжээг бууруулах аргыг боловсруулж чаджээ. Эхлээд эмч нар хор хөнөөлгүй вирусийг генийн хувьд өөрчилж, тодорхой ДНХ-ийн дараалал агуулдаг болгодог байна. Дараа нь уг вирусыг 18 цаг үргэлжилдэг мэс заслаар микрокатетер, MRI ашиглан тархины тодорхой хэсэгт суулгана. Тэнд энэ жижиг вирус шуудангийн ажилтан шиг ажиллаж, тусгайлан бүтээсэн ДНХ-г тархины эсүүд болох нейронуудад дамжуулдаг бөгөөд улмаар тэдгээр эсүүд өөрсдөө мутацид орсон гентингтинийг бууруулдаг эсрэг төрөгчийг бий болгодог байна. Бүтэн өөрчлөгдсөн вирус суулгуулсан 29 өвчтөний нэрийг нууцалж байгаа ч энэ туршилтын эмчилгээнд оролцогчид хэлэхдээ, тэдний нэг нь эмнэлгээс гарч ажилдаа орсон, бусад нь тэргэнцэр ашиглахын оронд өөрсдөө алхаж байгаа гэжээ. Өмнө нь Хантингтоны өвчтэй хүмүүст анагаах ухаан зөвхөн сүүлчийн шатанд нь паллиатив эмчилгээ л санал болгож чаддаг байв. Харин паллиатив эмчилгээ гэдэг нь өвчнийг бүрэн эмчлэх биш, харин тухайн хүнийг дэмжих зорилготой олон хүн оролцдог, цогц тусламжийн арга хэмжээ юм байна.
Профессор Эд Уайлд “АНУ, Европт Хантингтоны өвчтэй ойролцоогоор 75 мянган хүн байгаа бөгөөд олон зуун мянган хүн мутацид орсон уургийн тээгч буюу ирээдүйд өвдөх эрсдэлтэй явж байна. Бидний энэ шинэ арга нарийн төвөгтэй, өртөг өндөр тул эхэндээ цөөн хүнд л хүрэх боломжтой. Мэдээжийн хэрэг, энэ эмчилгээ үнэхээр үнэтэй байх болно” гэж хүлээн зөвшөөрчээ. Харин профессор Сара Табризи “Бидний энэ арга бол зөвхөн эхлэл бөгөөд цаашид илүү олон хүнд хүртээмжтэй болох боломжтой өөр төрлийн эмчилгээний хаалгыг нээнэ” гэж мэдэгдсэн байна. Одоогоор энэ эмчилгээний албан ёсны үнэ гараагүй байгаа бөгөөд АНУ болон Нидерландад төвтэй “uniQure” компани ирэх жилийн эхээр АНУ-д лиценз авах өргөдөл гаргаж, энэ шинэ эмчилгээг тэнд нэвтрүүлэхээр төлөвлөж байна. Генийн эмчилгээ ер нь үнэтэй, гэхдээ зарим тохиолдолд урт хугацааны үр нөлөөгөөр үнэ нь зөвтгөгдөж байдаг аж. Жишээлбэл, Их Британи Үндэсний эрүүл мэндийн систем 2.6 сая фунт стерлинг(3.5 сая ам.доллар)-ийн өртөгтэй B төрлийн гемофилийн гэх эмчилгээг санхүүжүүлж байдаг юм байна.
\Г.АМАРСАНАА





Хугацаат цэргийн алба хаагчдад мэргэжил эзэмшүүлэх, хөдөлмөр эрхлэлтийг дэмжинэ
Мэргэжлийн болон техникийн боловсролын сургалтын байгууллага, сургалтын төвүүдэд суралцаж буй хугацаат цэргийн алба хаагчдын тоог нэ...
35 минутын өмнө
Шөнийн тарифын хөнгөлөлт 11 дүгээр сарын 1-нээс эхэлнэ
Монгол Улсын Засгийн газраас агаарын бохирдлыг бууруулах зорилгоор гэр хорооллын айл өрхийн орой шөнийн цагаар хэрэглэсэн цахилгааны...
1 цагийн өмнө
Өвлийн элсэлтийн шалгалт арванхоёрдугаар сарын 4-нд эхэлнэ
2025 оны өвлийн элсэлтийн шалгалтын хуваарийг Боловсролын Ерөнхий Газар(БЕГ)-аас өнөөдөр танилцууллаа. Шалгалт арванхоёрдугаар сарын...
2 цагийн өмнө
Улсын хэмжээнд 376 удаагийн мал хулгайлах гэмт хэрэг бүртгэгджээ
2025 оны эхний 09 дүгээр сарын байдлаар улсын хэмжээнд 376 удаагийн мал хулгайлах гэмт хэрэг бүртгэгдэж, өмнөх оны мөн үеэс 19.4 хув...
3 цагийн өмнө
Б.Нямбаяр: Эмч, сувилагч нар тангараг өргөсөн тулдаа л шүд зуусаар өдий хүргэлээ
Эрүүл мэндийн салбарынхан үндсэн цалингаа 3.5 сая төгрөг болгохыг шаардсан жагсаал өчигдөр дөрөв дэх өдрөө төв талбайд үргэлжиллээ. ...
3 цагийн өмнө
Сэтгэгдлүүд